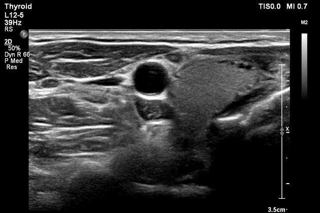
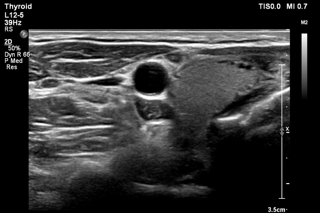
Վահանաձև գեղձի հանգույցներ
Հանգույցը վահանաձև գեղձի վրա հայտնաբերվող կարծր կամ հեղուկով լցված գունդ է: Մեծ մասամբ հանգույցները բարորակ գոյացություններ են:
Շատ դեպքերում դրանք ախտանիշներ չեն առաջացնում և հայտնաբերվում են պատահական զննման կամ այլ նպատակով իրականացվող ՀՇ հետազոտության ընթացքում:
Հանդիպում են բարորակ հանգույցների հետևյալ տեսակները.
● տոքսիկ (արտադրում են մեծ քանակի թիրոիդ հորմոններ)
● բազմակի (հանգուցավոր խպիպ, երբ հնարավոր է՝ հանգույցները շատ հորմոններ արտադրեն կամ ճնշեն հարակից կառույցները)
● կիստոզ (հեղուկով լցված հանգույց):
Երբ հանգույցը մեծ քանակի հորմոններ է արտադրում, այն անվանում են տաք հանգույց: Այս հանգույցների դեպքում հնարավոր է ի հայտ գան հետևյալ ախտանիշները
● քաշի կորուստ
● մկանային թուլություն
● ջերմության անհանդուրժություն
● անհանգստություն, դյուրագրգռություն
● սրտի զարկի խանգարումներ
Լինում են դեպքեր, երբ առկա է հանգույց և գեղձի թերֆունկցիա, այսինքն՝ հորմոններն անբավարար քանակով են արտադրվում:
Այս պարագայում կդիտվեն հետևյալ ախտանիշները
● ուժասպառություն
● ցրտի հանդեպ զգայունություն
● չոր մաշկ
● մկանների, հոդերի ցավեր
● քաշի ավելցուկ
● դեպրեսիա
Հանգույցները, որոնք չեն ուղեկցվում գեղձի ֆունկցիոնալ խանգարումներով և չեն ճնշում հարակից կառույցները, ախտանիշներ չեն առաջացնում: Հանգույցի հայտնաբերման դեպքում ախտորոշում կազմելու համար կարող են պահանջվել արյան քննություն, ուլտրաձայնային հետազոտություն և բարակ ասեղային ասպիրացիոն բիոպսիա:
Բարորակ հանգույցները, որոնք՝
- չափսերով մեծ են և ճնշում են հարակից կառույցները կամ
- առաջացնում են կոսմետիկ դեֆեկտ կամ
- կոկորդում օտար մարմնի զգացողություն
կարելի է բուժել աբլացիայի միջոցով: